1.カウンセリング
お子さんの習癖等を聞き取りし、マイオブレース治療について詳しい説明をします。マイオブレース治療はお子さんのやる気がとっても大切。できる限りお子さんと保護者の方一緒にお越しください♪
子どもたちの未来のために“いま”できる歯ならびの治療
歯並びの乱れの5つの原因
以下の5つの原因が関与しています。
- おくちまわりの筋肉の間違った使い方
- アゴの骨の未発達
- 姿勢の悪さ
- 口呼吸や間違った舌の位置
- 指しゃぶり等のクセ

よくある歯列不正の種類
出っ歯

上顎前突
受け口

下顎前突
すきっ歯

正中離開
歯並び

叢生
覆い被さる

過蓋咬合
前歯が開く

開口
が合わない

交叉咬合
マイオブレース治療とは?
おくち周りの筋機能を矯正するマウスピース型装置「マイオブレース」を日中1時間と就寝中に装着すること、
また、トレーニングを毎日5分程度自宅で行うことで、歯並びを悪くする原因となる、姿勢、呼吸、舌のクセ、飲み込みのクセを改善し、顎の健やかな成長、発育を促します。
当院のマイオブレース治療は、小児矯正における『第1期治療(骨格的な土台作り)』に特化した治療です。
永久歯が生え揃う前の5歳~10歳の時期に、あごの成長を利用して歯並びが悪くなる原因(口呼吸や舌の癖)を取り除くことで、将来的な抜歯やワイヤー矯正のリスクを減らします。
| 推奨開始年齢 | 5歳~10歳程度 歯の萌えかわりのスピードや全身の発育、トレーニングを理解できるかどうか等により多少個人差はあります。 |
| 治療期間 | 2年~3年 |
| 通院頻度 | 月1回 開始後1回目の通院は装置の状態をみるためにも2週間程度で来院していただきます。 その後は基本月に1回アクティビティでの来院となります。 |
| 費用 | 【∼小学2年生終了まで】 385,000円+5,500円/月 【小学3年生∼】 440,000円+5,500円/月 ※費用はすべて税込です。 ※医療費控除適用になります。 ※上記の他、カウンセリング費用、初回検査費用、検査結果説明費用等が発生します。 詳しくはカウンセリングでご説明いたします。 |
新潟市南区の歯医者 大通り歯科は
小児口腔機能発達不全症サポートプログラム「Qwel」を導入しています
お子さまのお口まわりの成長には、歯だけでなく「呼吸・姿勢・舌や唇の動き」といった機能が大きく関わっています。
当院では、これらの発達を総合的にサポートする小児向けプログラム 「Qwel(クウェル)」 を導入し、健やかな成長をサポートしています。
Qwelとは?
Qwelは、姿勢・呼吸・舌や唇の動き・食べ方など、歯並びに影響する「お口の機能の育ち」を整えるための小児プログラム です。
マイオブレースは「歯並びが悪くなる原因」にアプローチする治療ですが、その原因の多くは 口呼吸・舌のクセ・姿勢・飲み込み方 などの「口腔機能」にあります。
Qwelで“機能の土台”を整え、マイオブレースで“歯並びの改善”を目指すことで子どもの将来の健康を多角的に養うことができます。
マイオブレース矯正を検討中の親御様へ
Qwel導入医院だからこそできるサポートをご紹介します。
以下のような「歯並びの原因」に先回りして対処できるため、
マイオブレースが進めやすい・結果が出やすい環境が整っています。

こうした悩みは、歯並びやかみ合わせの乱れが原因となっていることがあります。
歯並びやかみ合わせは、見た目の印象だけでなく、口腔内の衛生状態、発音、咀嚼、そして全身の健康にまで影響を与える大切な要素です。
だからこそ、早めの矯正治療が重要なのです。
特にマイオブレースは“お子さまの協力度”が治療成績に大きく関わりますが、
Qwelによって 「行動の目的を理解しやすい」「お口を上手に使える」 状態に近づくことで、治療そのものがスムーズになりやすいのがメリットです。
「より効果的にマイオブレースを進めたい」
「歯並びだけでなく、姿勢・呼吸・食べ方も気になる」
新潟市南区の歯医者 大通り歯科
マイオブレース治療の流れ
2.初回検査
レントゲン、口腔内写真、呼吸や嚥下の検査、舌圧・口唇圧測定等の詳しい検査をします。
3.診断結果説明
分析した検査結果をもとに、診断結果と治療計画について説明します。保護者の方のみの来院でもOKです。
4.治療開始
いよいよ装置の付け方やアクティビティノートの説明をして治療開始です!
5.初回アクティビティ(2週間後)
装着状況の確認や口腔内の状態を見ます。そして本格的なアクティビティもスタート!
6.アクティビティ2回目以降
月に1回来院し、アクティビティと口腔内のチェック。アクティビティが次のステップに進む時にはまた再評価(検査)を行いますが、こちらは料金はかかりません。
7.治療終了
治療終了後も3か月おきに来院し、フォローします。
従来の矯正との比較
| 治療方法 | マイオブレース | ワイヤー矯正 |
| 装置 見た目 | 取り外し可能なマウスピース型で目立ちにくい | 金属のワイヤーが目立ってしまう |
| 痛み | ほとんどない | 力で歯を動かすので痛みが伴う |
| 抜歯の必要性 | 抜歯しない | 抜歯することもある |
| おくちのケア | 装置を取り外して歯磨き可能なのでむし歯になりにくい | ワイヤーの取り外しができないためむし歯になる可能性がある |
| 治療後の保定装置(リテーナー) | 必要ない | 必要 |
| 後戻り | 原因から改善していくので後戻りしにくい | 原因が改善されていないため歯並びが戻る可能性がある |
| 歯並びのきれいさ | 機能性の回復を優先させるため若干の歯並びのきれいさは劣る | きれいに整う |
| トレーニング | 1日5分程度自宅で行う必要あり (アクティビティ) |
行わない |
| 副次的効果 | 正しい姿勢、呼吸、飲み込みを獲得し顔貌等の成長発育を促す | 特になし |
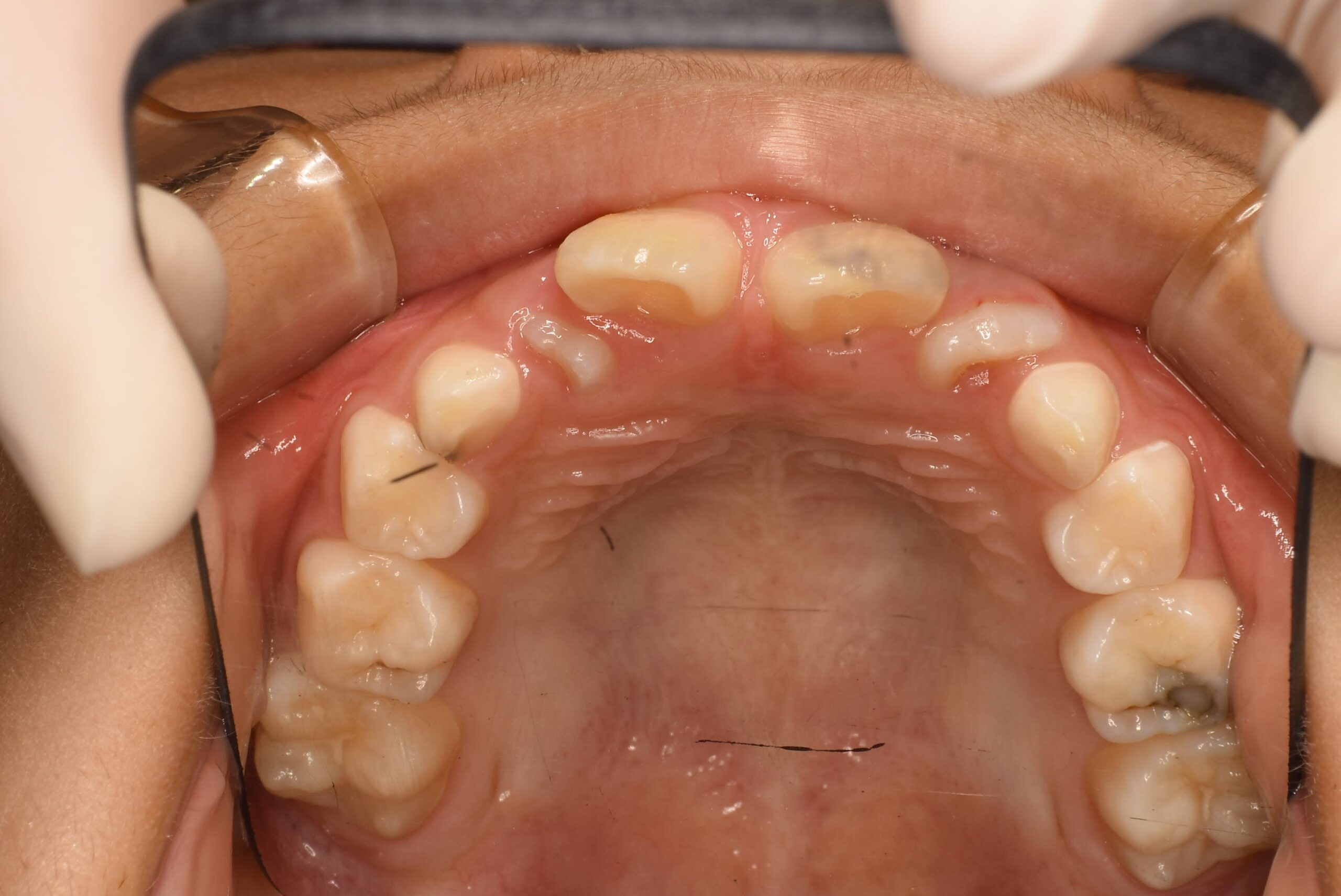
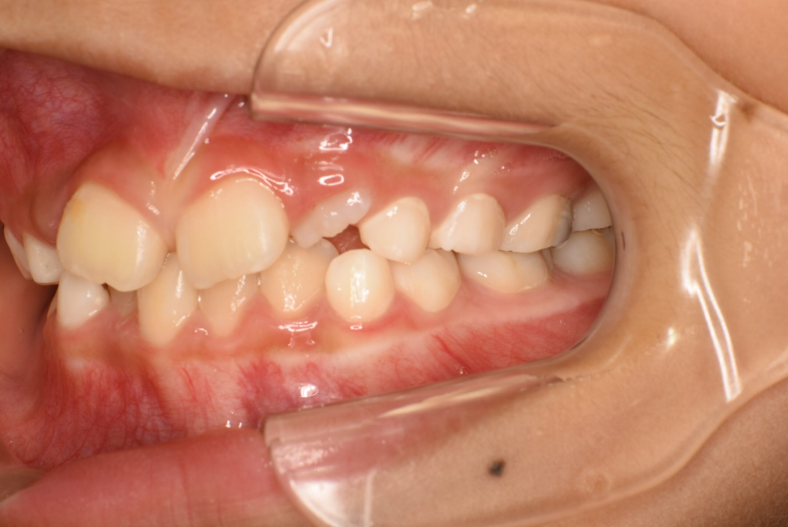
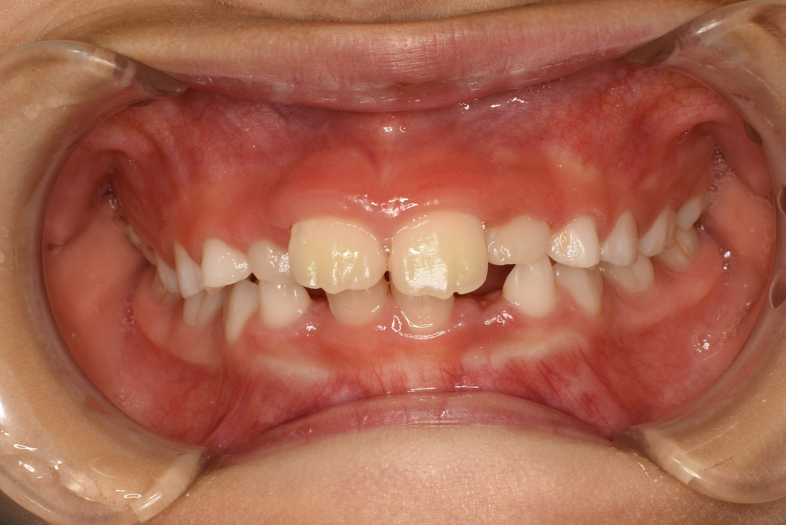
症例詳細:マイオブレースを用いた小児矯正(咬合誘導)




| 主訴 | 歯がバラバラに生えている(叢生) |
|---|---|
| 年齢・性別 | 女児・10歳(小学4年生) |
| 診断名 | 叢生(歯の生えるスペース不足)、口呼吸および舌の癖 |
| 治療内容 | 日中1時間と就寝時のマウスピース(マイオブレース)装着。あわせて呼吸・舌・飲み込み・唇を鍛えるアクティビティ(MFT)を毎日実施。 |
| 治療期間 | 2年2か月(現在も継続中) |
| 費用(税込) | 583,000円 ※検査代・装置代・月1回調整料5,500円含む |
| リスク・副作用 |
|
| 備考 | 本症例は治療途中の経過写真です。治療結果には個人差があります。 |
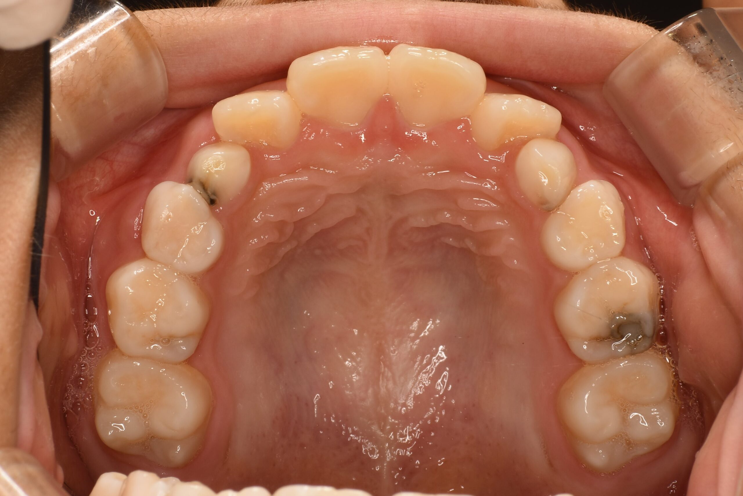
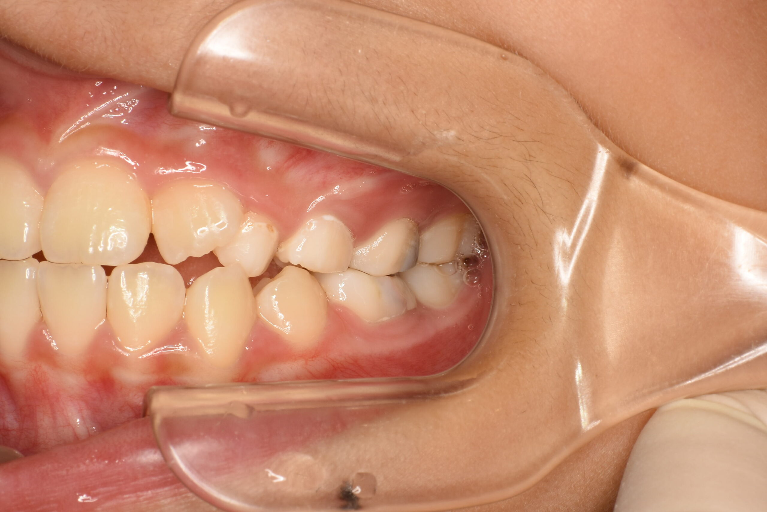
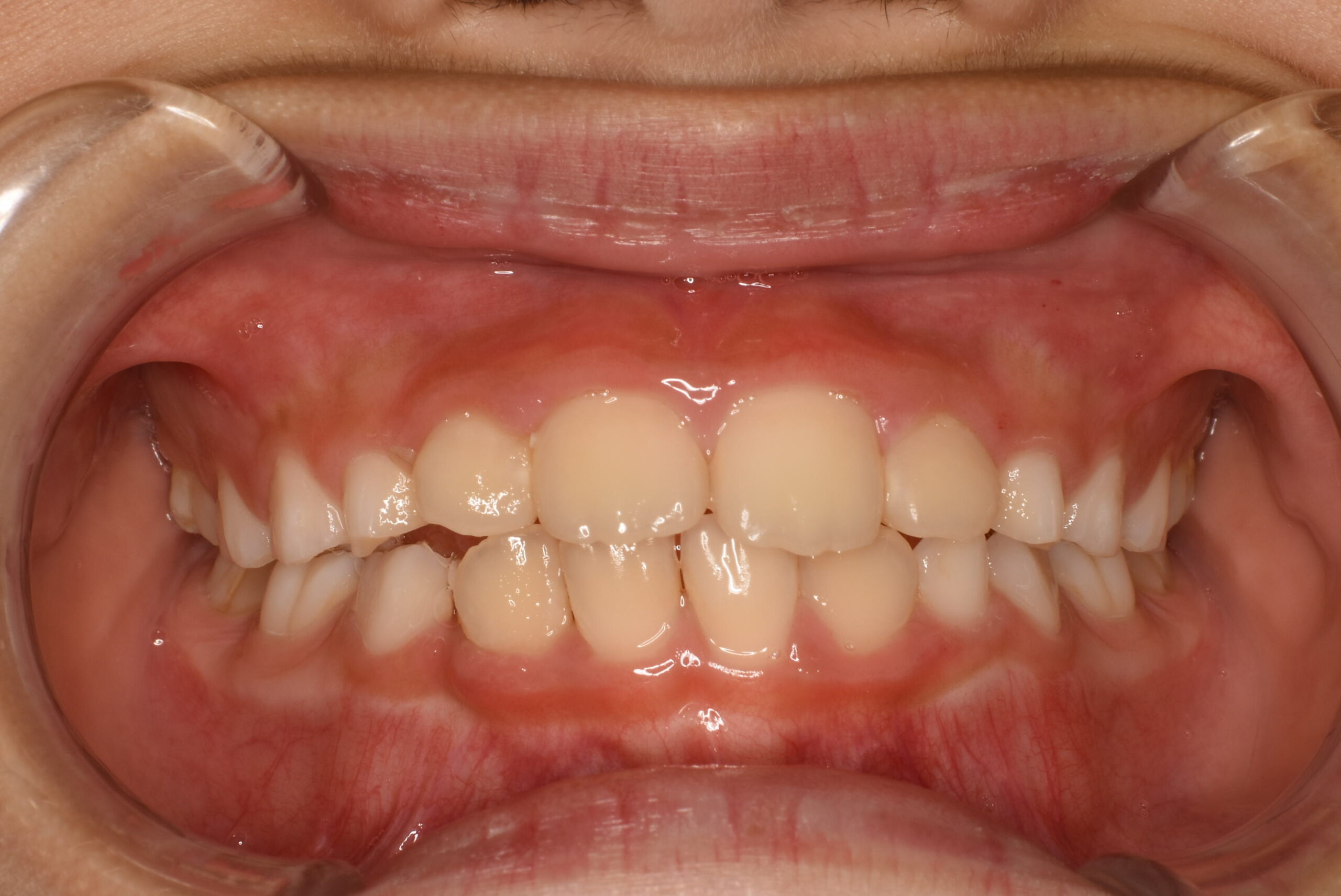
症例詳細:マイオブレースを用いた小児矯正(咬合誘導)




| 主訴 | 出っ歯 |
|---|---|
| 年齢・性別 | 女児・10歳(小学4年生) |
| 診断名 | 上顎前突(出っ歯)、口呼吸および舌の癖 |
| 治療内容 | 日中1時間と就寝時のマウスピース装着に加え、呼吸・舌・飲み込み・唇を鍛えるトレーニング(アクティビティ)を毎日実施。 |
| 治療期間 | 2年2か月(現在も継続中) |
| 費用(税込) | 583,000円 ※検査代・装置代・月1回調整料5,500円含む |
| リスク・副作用 |
|
| 備考 | 本症例は治療途中の経過写真です。治療結果には個人差があります。 |
よくある質問
Q.マイオブレースとワイヤー矯正の違いは何ですか?
A.ワイヤー矯正は歯を直接動かしますが、マイオブレースは口腔機能を改善して歯並びを正しい方向へ導きます。必要に応じて、マイオブレースと他の矯正を組み合わせることもあります。
Q.何歳から小児矯正のマイオブレースを始められますか?
A.マイオブレースによる小児矯正は、5歳から10歳くらいまでの混合歯列期(乳歯と永久歯が混ざっている時期)に始めるのが理想的です。新潟市南区の歯医者 大通り歯科でも、この時期に小児矯正マイオブレース治療を開始することをおすすめしています。
Q.小児矯正のマイオブレースにかかる治療期間はどのくらいですか?
A.小児矯正のマイオブレース治療は、通常2〜3年ほどが目安です。ご家庭での装着とトレーニングをしっかり続けることで、よりスムーズに効果が得られます。
Q.小児矯正のマイオブレースは痛いですか?
A.小児矯正のマイオブレース治療は、一般的なワイヤー矯正と比べて痛みがほとんどないとされています。最初は少し違和感がある場合もありますが、通常は数日で慣れるお子さまが多いです。
Q.マイオブレースの1日の装着時間はどのくらい必要ですか?
A.マイオブレース矯正の装置は日中1〜2時間と就寝時に装着するのが基本です。新潟市南区の歯医者 大通り歯科では、装着時間の指導とトレーニングを日常生活に無理なく取り入れられるよう、お子さま一人ひとりに合わせたサポートを行っています。
Q.小児矯正のマイオブレースでは、毎日トレーニングは必要ですか?
A.はい、マイオブレースの効果をしっかり出すためには、毎日のトレーニングが必要です。
マウスピースを装着するだけでなく、歯医者で指導される口の体操や呼吸のトレーニングを続けることで、舌の位置や口呼吸などの悪い癖の改善が期待できます。もしトレーニングを怠ると、歯並びがきれいに整わなかったり、後戻りの原因になる場合もあります。
歯医者とご家庭が協力して毎日取り組むことが、マイオブレース治療の成功につながります。
Q.小児矯正「マイオブレース」で抜歯をすることはありますか?
A.小児矯正「マイオブレース」は顎の成長を促して歯が並ぶスペースを確保するため、抜歯の必要はほとんどありません。
Q.小児矯正のマイオブレースは後戻りしますか?
A.マイオブレースは歯を並べるだけでなく、口呼吸や舌の癖など“歯並びが悪くなる原因”を改善することを目的としています。そのため、従来の矯正と比べて後戻りが少なく、安定しやすいのが特徴です。
歯医者での定期的なチェックと、ご家庭での毎日の取り組みを両立することで、マイオブレース治療後の安定を長く維持しやすくなると考えられます。
Q.通院頻度はどのくらいですか?
A.新潟市南区の歯医者 大通り歯科では、マイオブレースによる小児矯正の治療中は1か月に1回程度の通院をお願いしています。装置の確認やトレーニング指導を行います。
Q.小児矯正のマイオブレースの費用はどのくらいですか?
A.新潟市南区の歯医者 大通り歯科での費用は以下のとおりです。
小学2年生終了まで:385,000円~別途調整代(税込)
小学3年生以降:440,000円~別途調整代(税込)
※医療費控除の対象になります。
